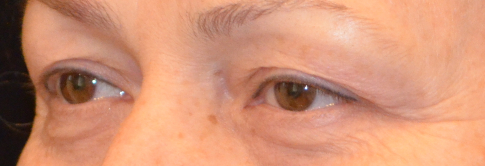
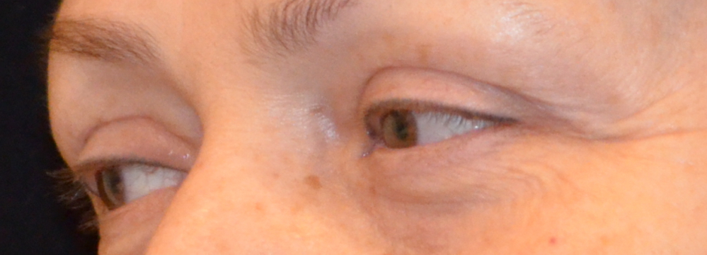
Блефаропластика нижних век
-
Блефаропластика нижних векКаждое утро просыпаюсь и расстраиваюсь, глядя на себя в зеркало. Мне всего 26 лет, а нижние веки как у старушек с лавочки, которая под моим подъездом. Я пыталась привести в порядок нижние веки с помощью косметических средств и народных методов, но не преуспела в этом. Подруги - защитницы пластики - рекомендуют обращаться к специалистам. Пока я занимаюсь изучением сайтов о пластике и нахожусь в активном поиске доктора.
За то время, что я провела в углубленном изучении вопросов блефаропластики, поняла, что есть возможность провести пластику нижних век с внешним разрезом и через внутренний доступ, после которого на веке не останется видимого рубца.
Может мне кто-нибудь подсказать, в каком случае можно провести трансконъюнктивальную блефаропластику, а в каком случае нет?
-

По-моему, можно, если нет избытка кожи на нижних веках.
Но лучше, наверное, посоветоваться с врачом.
-

Салли, трансконъюнктивально проводится только тогда, когда есть грыжи и нет избытка кожи.
Если лишняя кожа есть, то ее только редуцировать. Сейчас аккуратно шьют, не переживай, ничего видно не будет.
Ты определилась уже, к кому пойдешь?
-

Трансконъюнктивально? И где разрезы располагаются???
-

Разрезы внутри, со стороны слизистой!
При классической блефаропластике шов будет располагаться на нижнем ресничном крае.
-

Если кожа у нее достаточно упругая, а, скорее всего, так и есть, если 26 лет, то можно и с внутренней стороны разрез делать
-
-
-

Возраст тебе позволяет сделать трансконъюктивальную блефопластику.
-

Возрастных показаний у блефаропластики нет
-

Тем более для нижней, мешки могут бюыть даже у 20-летних, и дело тут не в возрасте, а в строении глаза. Если это мешает жить, то зачем терпеть до 40? Просто сделать - и все, проблема решена раз и навсегда.
А вот уже блефаро верхних делать, когда придет время и если оно вообщ потребуется.
-
-
-

Почему такое происходит? Может, ты питаешься неправильно воды мало или много пьешь или сексом не занимаешься?
-

Твоя работа, случаем, не связана с компьютером? От постоянного просиживания за компом такая ерунда с лицом случается. Побольше гуляй и общайся с друзьями и меньше сиди на сайтах знакомств, тогда будешь выглядеть суперски. Тебе убрать признаки раннего старения нужно побыстрее? Тогда действительно нужно только к пластичсекому хирургу обращаться.
-

Наверно наоборот, много воды и много соли, сидячий образ жизни? Как может от недостатка воды растягиваться кожа

-
-

Мне 44 года. Проблемки с веками есть. особенно с нижними.
На консультации к хирургам ходила - у Пенаева была (он мне абдомино делал), у Бабаяна была, у Чемянова (по рекомендации).
Отложила на время решение проблем с веками. Ближе к Новому Году вернусь к вопросу о коррекции.
-

Почему отложили?
Какие + и - можете отметить у каждого хирурга? К кому планируете?
-

Делала у Пенаева именно блефаропластику нижних век! Надоело смотреть на жуткие мешки под глазами. У меня остался всего один вопрос – почему я не сделала этого раньше?! Зачем жила и думала, что рассосется! Само ничего не рассосется! Нужно приложить усилия: достать нужную сумму, выбрать «своего» хирурга, сдать анализы, прийти на операцию и наслаждаться конечным результатом. Все просто. И спасибо, Арслану Агаевичу, благодаря ему мои глаза светятся от счастья.
-

До блефаро нижних век осталась пара дней. Уже и анализы сданы, и хирург Арслан Пенаев, надеюсь, потирает руки в предвкушении сделать меня настоящей красавицей. Мешки мои под глазками меня не просто не украшают или портят, они отравляют мне жизнь, как бы высокопарно это не звучало. Но внешность вечно расстроенной собаки, уверена, не идет ни одной девушки. Вот и решила я, избавится от возрастных аксессуаров. Под нож, так под нож, зато из-под ножа – королевой! По развлекайте меня, форумчанки, расскажите про ваш опыт блефаро. Скоро я присоединюсь к вашим счастливым рядам.
-
-
-
-

Не нравятся веки – с верхними я бы еще смирилась, но нижние… нет! Их надо оперировать. Ни косметика, ни косметология, ни магия здесь не помогут. Только пластический хирург и его волшебный скальпель. Я уже делала одну пластическую операцию – липосакцию год назад. Меня оперировал Сарвар Бакирханов в клинике «Мон Блан». На этот раз я тоже к нему собираюсь, но, как и в тот раз, буду посещать других специалистов тоже. Мне важно сравнить и понять (в очередной раз), что лучше моего хирурга никого нет.
Результаты по блефаропластике от Бакирханова видела – и на сайте клиники есть, и на форумах просила – высылали его пациентки. С хирургом в прекрасных отношениях. Он такой коммуникабельный, такой положительный, излучает положительные заряды энергии. Удивительный человек. Душевный терапевт! После липосакции я в себе нашла чувство уважения к себе, любовь к себе и желание совершенствоваться дальше. Сейчас веки сделаю и еще на один шаг стану ближе к мечте!
Нижнюю блефаропластику точно буду делать, а по поводу верхней проконсультируюсь с Сарваром Казимовичем. Скажет, что надо делать, – сделаю. На верхних веках у меня небольшие «подушечки», а на нижних – лишняя кожа и глубокая морщинка. То ли просто блефаро делать, то ли совмещать ее с липофилингом носолезки. В этих тонкостях я не разбираюсь, поэтому буду с нетерпением ждать консультации с Сарваром Казимовичем.-

А я бы совместила верхнюю и нижнюю блефаропластику. Зачем потом еще раз платить за наркоз, за прочие услуги??? И еще время для этого дела выкраивать.
-
-

Нижние веки делала трансконъюнктивально, причем, этот бесшовный метод мне предложил мой хирург. Я понятия не имела о том, что мышки под глазами можно убрать через внутренние разрезы. Поначалу даже мало себе представляла, КАК это. Изнутри - откуда "изнутри"
Но после ликвидации пробелов в анатомии глаза я во всем разобралась. Спасибо терпеливому Александру Грудько. Нелегко ему приходится - необходимо быть и хирургом, и преподавателем анатомии, и психологом.Я не видела иного пути кроме как операция, потому что за свою жизнь многое успела перепробовать. Начиная от чайных пакетиков, заканчивая точечным массажем
Угораздило же... Александра Викторовича нашла сама. Поступила так, как обычно поступают пациенты, - читала отзывы в Интернете, смотрела галерею результатов. Порадовало помимо прочего еще и то, что Грудько - персонаж медийный. По каждой эстетической проблеме можно найти его комменты, интервью, статьи...В выборе своем не разочаровалась, так как нижние веки после операции стали выглядеть идеально! Без "подушек"!

-

Да уж, терпение у Грудько ангельское. Тоже за нижней блефаро к нему ходила. Так же, как любой профан в области пластики, на первой консультации засыпала его вопросами, помню, что волновалась ужасно – даже руки дрожали. Но Грудько быстро мою панику развеял. От него такое спокойствие исходило, что я быстро успокоилась. Он мне тоже все внятно объяснил, рассказал, показал. Грыжи удалял под местной анестезией. Классно он все-таки работает. Быстро, уверенно, четко. Разрезы по ресничному краю делал, еще избытки кожи удалил. С пластырем на веках десять дней ходила. Когда пластырь сняли, заметила, как аккуратно он разрезы сделал – они за неделю зарубцевались и с глаз долой изчезли))))))) С лицом метаморфозы произошли колоссальные. Как будто на десять лет назад отмотали. Глаза открылись наконец-то, лицо свежее, молодое и отдохнувшее… Реснички подкрасила – и сразу красотка, даже тенями дополнять не надо!! Вот это эффект за час операции под местным наркозом!! Удивил Грудько!
-

Александр - это и мой хирург тоже. Я у него нижние веки в позапрошлом году сделала
А прошлой зимой - подтяжку нитями Силуэт Лифт. Лицо подтянуто было, веки без лишней кожи и мешков под глазами, но проблемы были с кожей. Что-то в последнее время, особенно летом, она у меня совсем "поплохела"
Так как у меня с Александром хорошие отношения, я сразу же к нему за советом. Так я узнала про великолепного специалиста по безоперационному омоложению - Азизу Усманову. Она умничка, не представляю, что бы я без ее золотых рук делала. За 3 месяца она полностью оживила мою кожу
Сейчас я вообще не жалуюсь на свое лицо! В ближайшие лет 5 никакая доп. операция или манипуляция на лице явно не понадобится! -

Кожей лица и мне не мешало бы заняться. Сейчас эта тема особенно важна, поскольку скоро лето, солнечные лучи - агрессивные факторы для нашей кожи. Надо бы со своим доктором проконсультироваться, что он мне порекомендует...
А нижние веки я тоже сделала в декабре прошлого года у Максима Леонидовича Нестеренко. Проводилась классическая пластика нижних век с разрезом на ресничном крае. Полоска шва очень хорошо сделана, поэтому даже без подводки глаза не видна!
Пластика век дала омолаживающий эффект, хотя я на него изначально не рассчитывала. Главной моей задачей было улучшение эстетики. А омоложение - приятное дополнение.
В будущем сделаю эндоскопию лба. Мне бы эта операция пошла на пользу - выражение лица изменилось бы, "открылся" бы лоб и глазки! Эхххх, столько хочется в себе исправить)))
-

Тоже хочу сделать пластику век! Замучили уже ужасные мешки под глазами... Осталось только хирурга хорошего отыскать)
-
-

Я тоже нижние веки исправляла у Грудько. Я с вами соглашусь, что такие вот мешки портят вообще все лицо, даже если у вас щеки молодые как персики! Чтоб мешков таких не было побольше отдыхайте и поменьше за компом сидите)) Ну а уж если до такой степени запустили себя, то тут действительно только операция дело поправить может. Косметология здесь уже не помощник)) Можете, кстати, не бояться, что будет какой-то длинный и опасный реабилитационный период. Все довольно быстро заживает. Разумеется, в том случае, если оперироваться будете у опытного хирурга. Как я например. =)
-

Что-то давно не было в этой теме отзывов))) Хотя у Грудько веки каждый второй делает! Я удивилась, когда пришла к нему на консультацию. Очень много пациентов! Точнее, пациенток! Я нижние веки делала вместе с пластикой подбородка. Но не трансконъюнктивально, а с разрезами на нижнем ресничном крае. У меня были выраженные мешки и складки из-за лишней кожи. Это придавало моему лицу уставший и нездоровый вид. Операция проводилась под общим наркозом, потому что у меня еще ментопластика была. А так, я знаю, многие под местной делают у Грудько. Хотя я бы, наверное, все равно под общим… Мне так спокойнее))) У меня очень хороший результат, поэтому всем рекомендую делать веки у Александра Викторовича. К тому же цены пока еще приятно радуют пациентов)))
-

Я так довольна веками, что теперь уже спокойна за лицо. Лет на 5-7 мне точно хватит достигнутых результатов. Сделала одновременно верхнюю и нижнюю блефаропластику у Тиграна Алексаняна. Я вычитала где-то, что он художник. Мой папа тоже художник, поэтому я знаю, что они скрупулезны в деталях и видят то, что не видят другие. Ну и, что естественно, обладают высоким эстетическим вкусом. На мой взгляд, все пластические хирурги должны иметь сертификаты по живописи или графике))) Или по скульптуре. Пойти я со своими веками к другому хирургу, вряд ли осталась бы довольна. Папа взрастил во мне любовь к прекрасному, я тоже тонко чувствую и понимаю красоту, поэтому весьма требовательна к результатам. Но тут мне даже не к чему придраться – доктор Алексанян превзошел мои ожидания. Ну и папа доволен. Вот уж точно кто понимает толк в искусстве!
-

У меня как у автора проблема, тоже очень похожа ситуация…26 лет, а состояние кожа на лице оставляет желать лучшего(( Я еще схуднула сильно и кожа как-будто обвисла, мешки под глазами подчеркнулись еще больше. Пришлось идти на блефаропластику, повезло, что можно было сделать трансконьюктивальную, без лишних разрезов. Оперировалась у Нестеренко Максима, после операции прошло около 2х месяцев, мешков нет, операция стоящая…меня она просто спасла. Реабилитация не сложная, все зажило очень быстро, болей не испытывала, в общем осталась довольна. Теперь вот с лицом думаю что делать)
-

У меня как-то не было выбора между местным и общим наркозом. Потому что операция шла в комплексе с подтяжкой лба, а там без наркоза не обойтись) Но мне кажется я все равно выбрала бы общий, так как жутко боюсь вида всяких хирургических инструментов) У Грудько, кстати, тоже оперировалась, как многие тут. Очень позитивный челевек) Прямо приятно вспомнить) Думаю, это был не последний мой визит к нему. Сейчас он недостатки исправил, но ведь время не стоит на месте, и рано или поздно придется задуматься о более серьезных операциях.
-

Да, у меня тоже под общим наркозом была. Блефаропластика круговая была. Но даже если бы просто нижние веки делали, я бы все равно попросила наркоз. Очень боялась, что вот буду так сидеть перед хирургом, а он будет у меня в глазах ковыряться)) А так лежишь себе, ничего не чувствуешь, ничего не видишь)) красота)) Опериовалась у Александра Грудько тоже, отличный врач)) Одно удовольствие было с ним общаться. Радовалась когда видела, как сходят отеки. )) У меня мешки были реально очень заметные, и как непривычно было первое время видеть себя без них! Непривычно и приятно)
-

Знакомая ситуация, тоже вашего возраста (27 лет), а уже сил терпеть не было эти мешки под глазами, лишние борозды около век и жировые грыжи на нижнем веке. Долго искала хорошего пластического хирурга, пока не увидела отзыв о блефаропластике от своей любимой певицы Аи из группы "город 312". Решено было делать трансконъюктивальную блефаропластику у Давида Рубеновича Гришкяна, носящего титул доктора наук и лучшего пластического хирурга в Москве. Прооперировалась у него в клинике. Выписали в тот же день, в себя уже дома приходила. В первые дни нельзя было мыть голову, чтобы не намочить швы. Через четыре дня их сняли. Кстати, это не больно! больше щекотно))) Что было для меня проблемой, так это то, что нужно было ограничить количество потребляемой воды. Отеки были не сильные, но были. Прошли через 2-3 недели. На самом деле все это не причиняет каких-то существенных неудобств и теперь я наслаждаюсь своими красивыми глазами. Я не просто от мешков избавилась под глазами, но и омолодила их. Помимо блефаро Давид Рубенович сделал и другую маленькую процедурку – заполнил жиром носослезную борозду, таким образом полностью сгладив поверхность нижнего века. Я очень довольна!
-

У меня знакомая ситуация, правда, я чуть-чуть постарше. Мне 38 лет и проблема мешков и синяков под глазами коснулась меня основательно. От постоянной работы за компьютером и хронического недосыпа у меня появились, нескрываемые ничем, синяки под глазами и мешки. Я очень расстраивалась из-за этого, ведь хочется выглядеть хорошо. Пыталась я и народными методами их убрать, и посещала дорогущие процедуры, но ничего не помогало. Благо, узнала о восхитительном докторе – Галине Хрущ. Она меня очень хорошо проконсультировала по поводу моей проблемы и сделала мне нижнюю блефаропластику. Сейчас я выгляжу намного лучше, чем до операции, советую и вам с подобной проблемой обращаться к ней!
-

Сейчас частенько проводят именно трансконъюктивальную блефаропластику, а особенно в таком молодом возрасте как 26 лет, определенно подойдет этот вид блефаро. Потому что избытки кожи появляются уже довольно в зрелом возрасте, а грыжи могут появиться в любом возрасте. Насколько я знаю, нижняя блефаропластика в любом случае проводится под общим наркозом, потому что требует удаления грыжек, а под местной анестезией могут провести только верхнюю блефаро. Не бойтесь, девочки, это процедура не такая страшная как кажется, результат уж точно стоит всех страданий) моим хирургом был Максим Нестеренко, сделал мне все очень аккуратно, даже и не скажешь, что была операция) и у вас все будет хорошо!
-

У меня грыжи появились примерно в таком же возрасте и это печально. Всегда думала, что меня минут все признаки старения. Грусто за этим наблюдать.
К 34 годам все только усугубилось и косметолог никак не могла помочь убрать грыжи.
Делала блефаролифтинг у Егоровой. Операция пошла на пользу моей внешности, выглядеть я стала намного лучше и свежее. Шрамиков не осталось.
-

Я делала нижнюю блефаропластику одновременно с эндоскопической подтяжкой лба. Мне 49 лет, и возраст все же потихоньку, но берет свое. Под глазами у меня образовались жуткие мешки и кожа потемнела. А лоб сложился гармошкой, опустились брови и взгляд стал тяжелым и у меня был такой ворчащий общий вид. Оперировал меня Бабаян Гайк Павлович. За одну операцию он избавил меня от всех признаков старения) Я помолодела лет на 10) Мне сейчас и 40 не дают) Следов от операции вообще не осталось. Лоб стал ровным и брови вернулись на свое законное место, взгляд открылся, я снова выглядела как раньше, жизнерадостная и добрая) И под глазами не осталось и намека на то, что там были мешки)
-

А я у Александра Грудько быстро прооперировалась. ) Раз - и все, уже можно идти домой с красивым выразительным взглядом. ;) Утрирую слегка, конечно, кто делал - тот поймет) Но в целом все именно так. И вот мне интересно, это мастерство хирурга сказывает или просто такая легкая операция? Не исключено, что и то, и другое. ;) На самом деле результат меня приятно удивил. Теперь даже всерьез подумываю сделать еще подтяжку лба. Там морщины уже приличные собрались, а обкалываться ботоксом что-то желания нет. Если соберусь, то тоже к Грудько пойду. )
-

Недавно смотрела цены у разных хирургов на эту операцию. Очень большая разница, в 50-60 тысяч на круговую блефаро... Сколько у Грудько стоит сделать веки?
-

Я конечно понимаю, что ответ автору уже давно не актуален, но я что-то не поняла какая проблема у нее с веками была…веки как у бабушки — это как? Морщинистые? Просто если разговор шел о мешках, то не у всех бабушек есть мешки под глазами)) а морщины с помощью блефаропластики не убираются…можно только лишнюю кожу убрать, но в 26 лет, я думаю вряд ли такая имеется. Вообще блефаропластика вещь отличная, особенно трансконъюктивальная…мешки долой и никаких следов от операции и к сожалению в некоторых случаях данная операция — это единственный выход. Поэтому если вам уже есть 25 и вы имеете грыжи под глазами, то идите на блефаро…иначе будете страдать и с завистью смотреть на других, у кого таковых проблем нет. Мою блефаро мне провел Нестеренко Максим, врач хороший, толковый, поэтому всем советую.
-

Мне в 32 года пришлось делать круговую блефаропластику. Постоянные недосыпания. стрессы и прочие проблемы все же оставили свой след на моем лице. Под глазами у меня образовались огромные просто мешки и темные круги, а верхние веки стали как будто тяжелыми и нависли на глаза. Из-за этого я выглядела не на 32, а на все 45( Конечно же я не собиралась с этим мириться, и как только появилась возможность, сразу стала искать хорошего хирурга. Всякие крема и прочее уже были испробованы. Хирурга я искала не долго. Вторым в моем списке хирургов шел Салиджанов Анвар Шухратович, на нем я и остановила свои поиски, так как никого лучше я бы точно не нашла) В итоге уже через 2 недели после моего первого визита к нему, он провел операцию Результат меня просто поразил! От тяжелых верхних век, мешков под глазами и темных кругов не осталось и следа! И следа от операции при этом тоже нет) Я очень довольна)
-

Нижние веки сделала без швов трансконъюнктивально. Оперировалась в СПИКе у Валерия Стайсупова. Это один из лучших по лицу хирургов в нашем городе, результаты впечатляющие и при этом никогда не найдешь следы от операции. У меня были мешки под глазами. Они давно появились, но обращать я стала на них внимание лет в 25, когда девушки уже вплотную начинают думать о своей внешности))) Сейчас мне 30. Родилось много комплексов из-за нижних век. Года 3 назад я стала проходить по всем врачам, чтобы выяснить причину этих мешков. Но никто ничего не разъяснил, так как с моим организмом все в порядке. Так и попала к пластическому хирургу и сделала веки. Отличный результат, приятно смотреть на себя!
-

а если кантопексию сделать? вы не рассматривали?
-

А подскажите пожалуйста, кто делал блефаропластику нижних век, сколько времени длится восстановление после нее, ну там, отеки и синяки.
-

Делала блефаро верхних и нижних век. Отеки ушли дня за 3. Синячки у меня были не большие, поэтому в течении примерно 1-1,5 недели лицо полностью очистилось. Повезло мне с доктором, так как он все сделал на столько аккуратно, что и разрезов как таковых уже не видно было где-то к концу 3-й недели.
-

И кто у вас доктор если не серкет, где делали?
-

Да какие тут секреты, простите, что сразу не написала. Блефаропластику мне делал Виталий Баландин. Принимает он в Ross Medical Group. Туда на консультацию удобней по телефону записываться. Только звоните в первой половине дня, а то я после обеда так и не смогла до них дозвониться.
-
-
-

Знакомая делала, ей за 50. Месяца полтора уходили синяки. Но проблемы были лишь пару недель. потом она просто тональным кремом маскировала. Особых неприятностей не возникало, вроде. Да вообще говорят, что при отсутствии заболеваний (сахарный диабет, например) держатся не более 2-6 недель.
-

Вот, у каждого наверно разный тип кожи, я думаю. От чего еще такая разница в востановлении?
Ксения Ласточкина, спасибо вам большое, ходила на консультацию к Виталию Баландину. Вы так его расхвалили, что и я не удержалась. Кстати, когда записывалась, звонила после обеда, взяли трубку после второго гудка. Так что после обеда Ross Medical Group точно работает. Это может вам так не повезло…
-

Возможно, все мы люди. Период восстановления зависит от мастерства доктора. Чем менее травматично он сделает блефаропластику, тем быстрей личико заживет. А вы прям молодец, тоже решили серьезно взяться за свою внешность?
-

Да, годы идут, а мы не молодеем)) Назначил мне доктор Виталий Баландин блефаропластику на конец мая. Объяснил тем, что сейчас очень много желающих преобразиться к пляжному сезону, очередь говорит.
-

Ксения Ласточкина, позвольте уточнить у вас такой вопрос. Вот я читаю ваши посты с прошлого месяца, но никак не пойму, вы делали блефаропластику сразу верхних и нижних век и возможно ли это сделать за одну операцию? Или все таки отдельно?
-

Verra, ну ничего, восстановитесь неспеша, а потом на бархатный сезон поедите красотой блистать. iuliya, в Ross Medical Group операцию делают сразу, если конечно есть показания. Создается атмосфера комфортного пребывания пациента, так что особого дискомфорта я не почувствовала. Правда после операции все ныло и болело, но это уже естественный процесс, никуда от него не денешься.
-

Почему же не денешься, есть обезболивающие. Читала где-то, что женщина так боялась боли, что после пластики 2 недели на таблетках просидела. Тоже наверно скоро и мне предстоит.
-
-
-
-
-
-
-
-

Такая блефаропластика как раз и подходит молодым пациенткам. У Вас еще нет возрастных изменений, поэтому операцию будет сделать легче.
-

трансконъюнктивальную вроде делают, когда не очень сильное опущение кожи. Вроде так.
-

Девочки, я к вам со своими хвастами. Сделал мне Виталий Баландин Блефаропластику. После оперции провела в ross medical group 2 дня. Сейчас общее состояние отличное, если не считать, что отеки еще не сошли.
-

Ооо, поздравляю! Я уже и сама на консультации была, буду делать сразу верхние и нижние веки.
-

Девочки, а как вы в жару операции переносите? Говорят же только не в летнее время их делать…
-

Да кто вам сказал такое? Абсолютно все равно, когда делать операцию, а тем более блефаропластику. Все это не больше чем предрассудки.
-

Первый раз слышу о том, что пластику не надо делать летом. по мне, так это самое подхродящее вреям года. На улице всё цветёт и пахнет, и сама преображаешься. Так что я считаю, что только летом и надо делать пластические операции)
-
-
-
-

Скажите, пожалуйста, у кого сколько вообще отёчность держится. сделала себе блефаропластику нижних век, удалили мешки, в Реал клиник. Я очень довольна. Хирург мой Владимир Баулин сказал, что за 10-12 дней полностью восстановлюсь. У кого сколько длилось по времени, просто любопытно?
-

10-12 дней — это реальные сроки. Но, опять же, полностью отечность за это время не спадет, для этого потребуется как минимум месяц. А вот синяки за 10 дней начнут светлеть. Но на этом сроке уже можно будет говорить о том, нравится вам результат или нет)
-
-

У меня где-то столько и держался отек после операции, но я делала эндоскопическую подтяжку лба и нижнюю блефаропластику у Бабаяна Гайка Павловича. И прошел этот период тихо и спокойно, нет, конечно дискомфорт был определенный, все таки операция, это не просто косметическая процедура, но все было терпимо. И результат вообще супер! Мне 36 лет, но мне и 30 дают с трудом) Лоб ровный, и верхние веки приобрели свой нормальный вид. От мешков под глазами не осталось ни единого следа) Коллеги по работе интересуются, где я так здорово отдохнула) Конечно я не говорю, что на операционном столе у пластического хирурга, пусть ломают голову) Тем более, что и следов от операции вообще нет)
-

у меня помимо того, что мешки под глазами ушли, еще и носослезная борозда разгладилась. Я оперировалась у доктора Гришкяна, это первый хирург, который предложил мне именно такой метод, до этого я была еще у двух врачей на консультации. Эффект мне очень нравится, лицо выглядит естественно.
-

-

друзья! подскажите пожалуйста…у кого лучше делать блефаро? мне посоветовали Тагира Файзуллина из Доктор Пластик…кто-то был у него или может что читали? помгите плиз
-

Лично мне нравится как пластику век делает Вячеслав Балкизов. Он акуратненько делает, швов не видно, всё очень натурально.
-

Файзуллин вроде больше по груди, если не ошибаюсь,хотя не встречала негативных отзывов о нём
-
Блефаропластика нижних векМогу посоветовать своего хирурга Михайлова Андрея Анатольевича. Отличный пластический хирург в этой области и не только в этой.
-
-
-

Я правда чуть постарше, чем автор поста, мне 34 года, и тут наверное уже в силу возраста произошли такие изменения. Но конечно тоже все не радужно отнюдь выглядело. На лбу появилось несколько глубоких полос, под глазами мешки образовались. темные круги, и за счет опускания лба еще и взгляд стал тяжелым, старым. Выглядела я лет на 40, как минимум, а стареть еще совсем не хотелось. В зеркало вообще не могла смотреться, сейчас как страшный сон все это вспоминается =) Просто не передать словами, насколько я рада, что это все позади уже) Я решила эти проблемы при помощи эндоскопической подтяжки лба и нижней блефаропластики. А провел мне эти операции замечательный хирург- Бабаян Гайк Павлович! Очень хороший хирург, мне он сразу понравился, и обошла я не мало хирургов, но лучше никого никого на своем пути не встретила) Я ему очень благодарна за то, что он снова вернул мне молодость и красоту) У меня теперь открытый, красивый, молодой взгляд! Кажется, старость отступила)
-

А эндоскопическая подтяжка очень эффективна? А то я,честно говоря, немного сомневаюсь в её результате. Если, например, довольно выраженный птоз, её можно применять?
-
-

читала, что сейчас в клинике куприна акция на верхнюю и нижнюю блефаропластику есть
-

Я слышала, что блефаропластика проводится по имеющимся показаниям, независимо от возраста…потому что от мешков под глазами и грыж никто не застрахован, они могут появиться в любом возрасте, это может быть вообще наследственный фактор. Кто-то после 50-ти ходит без мешков, а у кого-то они и в 20 лет могут появиться(( Мне вот тоже еще нет 30, кожа в целом выглядит неплохо и выгляжу я младше своего возраста, но вот мешки под глазами уже года 4 имею и красоты они мне явно не придают(
Метод блефаропластики без внешних разрезов мне очень понравился, вроде и операция, а швов не остается…я правда пока ее не сделала, у меня это в планах, но со своим хирургом уже консультировалась по этому вопросу. Буду оперироваться у Чкадуа Тамары Зурабовной, я у нее носик сделала и теперь после удачной ринопластики пойду к ней на блефаропластику) Видела ее работы в этой области, очень понравились…без мешков под глазами лицо выглядит совершенно иначе)
-
Жуков Александр Юрьевич. Блефароблефаропластика у Жукова Александра Юрьевича гарантировано кроме радости от внешнего вида не принесет. Сама терзалась сомнениями, делать или нет. Была всегда уверена, что пластика для стареющих теток, которые повернулись на идее сохранения красоты. Александр Юрьевич убрал складки на верхних веках и сразу глаза открылись, и мешки под глазами отправились в небытие — и все. Скинуть эти лишние, не мои еще годы и все стало на свои места. Я перестала камуфлировать эти недостатки, глазки светятся, уверенный взгляд. Все пришло в равновесие: и года и внешний вид
-

В молодом возрасте делать трансконъюктивальную блефаропластику самое то, мешки под глазами разом исчезают, лицо становится свежим и отдохнувшим. Если конечно мешки не связаны с больными внутренними органами, а вот если причиной мешков являются грыжи, то операция самый правильный, а впрочем и единственный выход из ситуации)) И возраст тут роли не играет, грыжи могут появиться и у молодых и здоровых людей, это может быть наследственное или просто предрасположенность, если есть показания, то можно делать операцию и в молодом возрасте)
У меня коллега по работе пару месяцев назад сделала блефаропластику…хотя ей 30 еще нет, сказала, что перенесла ее хорошо, операция несложная, делается без разрезов на коже, реабилитация много времени не занимает, при соблюдении всех рекомендаций доктора, через неделю можно уже быть огурцом. Если кто находится в поисках хирурга, то оперировалась коллега у Тамары Чкадуа, она как раз специализируется на лицевых операциях.
-

Мери Савинова (Merilinka), я тоже буквально на днях трансконъюктивальную блефаропластику делала. Что мне больше всего понравилось — никаких заметных швов и специальных препаратов для заживления. Конечно, мне предлагали физиопроцедуры, чтобы его ускорить, но они не понадобились. В целом, восстановление заняло 10 дней
-

А как это — операция без швов? Разве так бывет? Все равно на веке какой-никакой разрез должен остаться или я чего-то не понимаю?
-

Бывает, если пластику делает Баландин В.А., мне его коллега посоветовала. У нее была проблема с нависшим веком. Ей было обидно, что с таким мягким и добрым характером у нее был тяжелый взгляд. Да и женской привлекательности он не прибавлял. Врач удалил ей лишнюю кожу и излишки жировой ткани. Эффект от такой небольшой операции был просто супер. А у меня разрез был на внутренней стороне нижнего века, поэтому шва и не видно. Единственное — пришлось какое-то время походить с синяками под глазами.
-

Oksanushka, у меня тоже нависшее веко. Оно не только некрасиво, но еще и лишние годы прибавляет. В ближайшем будущем тоже планирую на операцию записаться. А что со зрением? Оно не страдает во время этой процедуры?
-

Опять же, все зависит от мастерства хирурга. У Виталия Александровича никогда таких происшествий не случалось. А в целом — я читала что при неудачной операции может развиться коньюктивит, воспаление роговицы или сухость глаза.
-

Идите к Жукову Александру Юрьевичу, он становился лучшим пластическим хирургом по блефаропластике 2015-2016 годах
Очень круто работает, опыту 27 лет…
-
-
-
-
-
-
-

Да, в случае мешков под глазами, блефаропластика это единственный выход. Мешки под глазами никак невозможно скрыть, а с ними лицо выглядит очень уставшим, невыспавшимся и даже болезненным, по себе знаю, так как долгое время мешки были неотъемлемой частью моего лица)) и чем старше становишься, тем мешки становятся сильнее и тем сильнее они портят внешний вид, поэтому чем раньше от них избавиться, тем лучше. Многие бояться делать операцию и ошибочно предполагают, что мешки под глазами можно убрать с помощью инъекций, но это полнейший бред, мешки не рассосутся ни от каких инъекций, от них может стать только хуже, прибавится отечность и ситуация усугубится. Инъекции, а точнее филлеры, могут помочь при впадинах под глазами, а при наличии мешков поможет только операция. И ничего страшного в этой в этой операции нет, она довольно простая и реабилитация длится около недели. Здесь уже писали, что блефаропластика нижних век может проводится без разрезов на коже, это правда, называется она трансконъюктивальная блефаропластика, мне как раз такую и проводили. Времени на заживление рубцов не требуется, не остается никаких следов, а результат виден сразу. Оперировалась я у Висаитовой Зулихан, поэтому от себя могу советовать только ее, с другими хирургами не знакома и ничего сказать про них не могу.
-

Я на трех консультациях была. И у всех мнения разные, один мне сказал, что нижние веки без верхних вообще рисковано делать и он не возьмется. Другой сказал, что транконьюктивально все сделает. А третий сказал, что можно вообще филлерами обойтись или жир свой ввести.
Вот теперь и не знаю что делать, видимо буду еще консультироваться.
-

нижние без верхних опасно делать?! Интересно… никогда такого не слышала! А вы были у Гварамия Алексея? он же тоже сильный по лицу хирург. Уверена, ему можно доверять. А сами вы что думаете? если вы молоды, наверняка проблема только с грыжах, а кожа упругая? Тогда трансконъюктивальная должна вам подойти.
-

да, сходите еще к хирургам. Странно, что верхние и нижние веки вам прямо в обязательном порядке сказали вместе делать. обычно врачи к такому не принуждают
-
-
-

на вопрос о показаниях вам сможет только хирург сам ответить. Не стоит мучить себя и гадать. Мне делали пластику верхних и нижних век одновременно, так как проблемы были по всей области вокруг глаз, требовалось омоложеие, подъем век и устранение жировых грыж. После 34 лет я выглядела на все 45 со своими веками, поэтому я обратилась к Жукову. Он занимается разными видами пластики век, поэтому уточните у него свой вопрос лучше. Он профессионал все таки!
-

Очень долго не могла решиться на операцию, боялась, что восстановление будет долгим и болезненным, но, когда мешки под глазами стали расти и становится заметнее обратилась к Володченкову И.А. Операция очень изменила мою внешность, я стала выглядеть моложе, взгляд стал более открытым. Все мои страхи оказались напрасными, отеки были около недели, после этого я уже смогла оценить результат операции.
-

Девчонки, отписавшиеся сверху, напишите о ценах на операцию, пожалуйста, и что входило в эту стоимость? Анализы самим надо было сдавать или «все включено»?
-

тут у всех по-разному, зависит от клиники и хирурга. Кто-то делает по «всё включено», а где-то анализы отдельно оплачиваете
-
-

До того как обратиться к Коробкову в Seline Clinic я был уверен что мне нужна омолаживающая операция. Однако хирург сказал, что пока нет показаний. Зато нижняя блефаропластика поможет решить проблему. Убрали «мешки» и взгляд стал моложе и здоровее вид в целом. Очень полезная операция и главное — без видимых швов!!! Спасибо Георгию Игоревичу!
-

у вас какую методику использовали? Классическую или через слизистую? Просто второй вариант очень интересует, что да как
-
-

Игорь Сергеевич Годяцкий вот он очень хорошо делает блефаропластику, процент успешных операций высокий, про неудачные я не слышала. Сама у него делала и маму привела, ей нижнее и верхнее веко он делал, мне только верхнее. Нравится, как Игорь Сергеевич общается, как ведет себя, хороший врач.
-

а вот эту бесшовную, трансконъюнктивальную методику под наркозом делают?
-

Убирала грыжи под глазами. Нижнюю блефаропластику проводил доктор Павлюченко. Всё прошло хорошо, никаких претензий к врачу нет. Я довольна тем, как он мне убрал мешки под глазами. Реабилитацию, конечно, придется перетерпеть, но всё это временно, зато новые глазки — это навсегда)
-
а я нашу маму к Осину отвела. Я была впечатлена, насколько, оказывается одна лишь пластика век может омолодить лицо! Операция действительно прям показательная! Думаю, когда я стану постарше, то тоже не буду отказываться от омолаживающих пластических операций
-
-

У меня была верхняя и транконъбюктивальная нижняя, так как кожи в избытке снизу не было. Оперировалась у Гварамия, и думаю что даже обычная нижняя была бы не хуже, потому что даже на верхних веках очень аккуратные и малюсенькие рубцы, которые и не видны толком и не мешают!
-

хочу сказать тем девушкам, которые терзаются сомнениями относительно нижней блефаропластики, что откладывать не стоит, бояться там совершенно нечего. Если бы я раньше знала, что под наркозом просто высплюсь, реабилитация займет неделю и в принципе я через два дня после операции смогу быть на работе, то я бы давно прооперировалась, а не мучилась несколько лет. Блефаропластику делала у Тумакова, в его же тему добавила фото.
-

в тему хирурга, да? Пойду-ка гляну
-

поздравляю с успешной пластикой! А почему вы выбрали именно этого хирурга?
-

Всем доброго дня. Я девчули воспользовалась случаем, что доктор может за одну операцию с одним наркозом выполнить сразу две операции (ринопластику и блефаропластику). Итог за одну операцию я получила молодые глазки и изящный носик.Смогла осуществить свою мечту, подвергалась меньшему воздействию наркоза. Спасибо моему прекрасному доктору Алексанян Тиграну Альбертовичу за превосходный результат. Мечты должны сбываться!
-
-
-

Ну я и своей похвалюсь — нижняя классическая блефаропластика у Егоровой Марии Владимировны в Фрау Клиник.
Хоть операция была всего неделю назад, но результаты просто прекрасные по сравнению с тем, что было. Ничего не болит, отеков практически нет, только желтизна от синяков осталась. Это, конечно, немного портит картину, но тем не менее
-

а ничего не болело во время реабилитации?
-

а еще фото есть?
-

Мне нравится ваш новый вид!
-

вау-вау-вау! Шикардос

-
-

Могу посоветовать Виталия Баландина. Я, конечно, не в таком молодом возрасте обращалась за блефаропластикой. Мне было в 2 с лишним раза больше лет. Однако, результат операции, по настоящему, впечатляет.
У меня были очень сильные морщины под глазами — долгое время стеснялась носить очки, постоянно щурилась — вот и результат.
Баландин провел очень аккуратную операцию, убрал излишки кожи, подтянул морщинки, и вуаля, я помолодела лет на 10. Очень довольна работой хирурга.
-
Положительное впечатлениеРосс Андрей Владимирович это врач от бога с золотыми руками. Обратилась к нему и не пожалела. На первой консультации поразил меня своей обаятельностью, а главное профессионализмом. Сделал мне блефаропластику нижних век. Послеоперационный период прошел отлично, благодаря рекомендациям Андрея Владимировича. Очень внимательно и заботливо относиться к каждому пациенту.
-

Уже довольно давно стала замечать по фотографиям, что взгляд какой-то больной и усталый. В каком бы ракурсе и освещении я не делала фото- я понимала- что-то не то. И даже с сильно накрашенными ресницами положение не улучшается. Хоть какое освещение, а результат один- изображение на фото не радует. Да и в зеркале тоже. А иногда даже сильная ассиметрия. Мной было принято решение сделать блефаропастику. Поскольку на примете уже был хороший врач(Белый Игорь Анатольевич) я отправилась к нему на консультацию.
Сначала я приехала на консультацию и объяснила врачу, что я хочу. Доктор порекомендовал,мне сделать по его авторской методике подтяжку лба и блефароплатику. Результат просто потрясающий. Самое главное найти достойного доктора и все!!!
-

а сколько стоила ваша операция?
-

Первый раз в жизни употребляю столько жидкости, сколько хочу, а на утро просыпаюсь, смотрю на себя в зеркало и улыбаюсь, потому что мешков нет! А еще я перестала делать стрелки, потому что глаза и так выглядят чудесно и молодо.
Подтяжку я не делала, была только классическая блефаропластика нижних век и убрали грыжи.
Своего хирурга Игоря Анатольевича Белого я выбирала вначале читая форум, сделала список, обзвонила клиники, узнала цены и те методы которые используют хирурги при операции, записалась на консультации, на консультациях просила показать мне фотографии пациенток, чтобы увидеть результат работы. Задавала волнующие меня вопросы докторам и таким образом, выбрала своего хирурга и не ошиблась. Желаю Вам найти такого доктора, которому Вы сможете доверить свои глазки!
-
-
-
-
Хачатрян Вардан РобертовичХотела пластику век, но принять решение делать оп трудно. Всё-таки это лицо и мало ли. Но бесшовные оп Вардана очень нравились. Следила глазом года два, пересматривала все фотки. Решилась! Доктор сразу объяснил, что пластика век — это ничего страшного, сделает мне шикарный кукольный взгляд как у девочки. И это правда! ) Опомниться не успела, как всё уже было сделано. Тяжелые веки пропали — просто магия! Я красотка, молодой взгляд, лицо сильно изменилось. Но это перемена в лучшую сторону. Вардан Хачатрян подарил мне взгляд, от которого в восторге не только я, но и окружающие )))
-

Мне очень понравилось, как вы изменились! Реально очень естественно !
-

Моя подруга делала у Тиграна Альбертовича ринопластику, поэтому когда я рассказала ей о своем намерении сделать блефаро- она мне тут же посоветовала Алексаняна, так как большего универсала и профессионала чем он- в Москве не сыскать по ее словам. Охотно верила и верю и буду верить, потому что ее результат — это нечто невероятное. Шикарный профиль и красивейшей формы носик..что Алексанян круто делает блефаро и еще ряд операций — я узнала уже позже. Честно, это большая удача…к любому другому хирургу — засомневалась бы идти., но не к нему!
На фото 20 дней спустя операции. Шик, блеск и красота!
-
-
-

Спасибо доктору Хачатряну Вардану Робертовичу за то что посоветовал мне сделать круговую блефаропластику. Операция вернула мне молодые годы, красивое, молодое лицо, я забыла про морщины и мешки. Мне стало легче смотреть, ушло напряжение с глаз, стало свободнее как то
Взгляд отдохнувший. Операция продлилась около часа. за этот час изменилась моя жизнь я очень довольна!
-

Я делала круговую блефаропластику, убирали ещё грыжи. Очень хорошая и результативная операция если есть проблема нависших век. оперировал меня доктор Орландо в клинике Линлайн на Удальцова, хороший доктор, работу свою знает на отлично, в общении очень приятный и грамотно всё объясняет, так что и вопросов не возникает.
-

у меня было нависание асимметричное, операцию делала у Гущиной А. О., мне очень понравилось, она очень круто делает глазки, посмотрите, и нижнюю и верхнюю. Все равно на мой взгляд в большинстве случаев нужна круговая, получается сразу комплексный классный эффект!
-

а при асимметрии тоже оба века оперируются?
-

это индивидуальный вопрос. Но как правило только из-за одной асимметрии не приходят, а значит есть что еще исправить. Или нависание на обоих веках, но с одной стороны больше. Поэтому думаю в большинстве случаев все же оба века затрагивают, во всяком случае видела много таких работ у своего хирурга Валентины Кравцевич, и думаю если такой вопрос в любом случае обсуждается очно)
-
-
-

есть шрамы?
-

в веке прячется и там аккуратная линия. со временем незаметная! я сделала недавно и, конечно, пока видно! но она очень быстро заживает и светлеет. Хирург Голованов Сергей Юрьевич
-

а как вам доктор, вы бы посоветовали его? не первый раз вижу фамилию и клиника нравится. какие методики и фишки заметили у него? молодой все-таки, они все с интересом работают
-

а недавно — это когда? на каком сроке пока еще видны следы? 2 недели пройдет, будет еще заметно или уже нет?
-
-
-

все верно, если избытки кожи, то нужна уже полноценная нижняя, в моем случае была кругая, честно говоря слабо представляю, как может быть такое, что на части века кожа провисла, а на части нет, у меня признаки старения как-то одинаково проявлялись) так что делала круговую, но хочу сказать что никаких следов нет, делала у Гущиной А. О.
-

Никто не делал бесшовную блефаро? Когда края разреза не сшивают, а склеивают… Свиридов такое делает, Хачатрян, кто еще
-

Ого… Такое тоже бывает??? Не видела такой информации по бесшовной
-
Бесшовно у Вардана ХачатрянаДа, такое бывает)))
На мой взгляд, мой хирург Вардан Хачатрян — это человек будущего:) Кроме него, не нашла что-то докторов, кто разрезы закрывает клеем. В случае моей блефаропластики это было очень удобно. И реабилитация прошла быстро. Думаю, как раз отчасти из-за этого. Мои новые веки мне очень понравились, я в восторге и от себя, и от своего хирурга-профи.
-
Веки делала у Снигиря - рекомендую, классный хирургК Олегу Олеговичу Снигирю я обратилась с целью убрать лишнюю кожу над верхними веками. Выбрала именно этого доктора по по совету моих друзей, которые сами работают врачами в сфере косметологии. На консультации Олег Олегович внимательно оценил особенности моей проблемы и подобрал тип операции, который даст максимально естественный результат, без возможных неблагоприятных последствий. Очень деликатный и интеллигентный человек, общаться с ним легко и приятно. Операцию он выполнил безупречно! Получился мой естественный контур глаз, только моложе на много лет.
-
-

То есть все результаты, которые у Хачатряна на сайте, — это вот такая ноу-хау блефаропластика??? Ну круто очень… Это ведь такая ювелирная работа… Он не хирург, он Бог тогда)))
-
Вардан Робертович - наш ловкий, умелый доктор )))Вардан действительно Бог, как вы пишете. И я объясню, почему. Во-первых, это природой одаренный доктор. Он и с закрытыми глазами может оперировать. Во-вторых, у него есть реальные методики, благодаря которым результаты получаются лучше, чем у кого-либо. В-третьих, есть такое понятие, как «легкость рук». Ну или ловкость рук. Плюс колоссальная работоспособность, влюбленность в свою профессию и позитив. Вряд ли гле-то еще есть хирург с таким набором качеств

-

Методики — это да. Вот веки, к примеру, он делает без шва. И это тоже его ноу-хау
-

что значит без шва? разве такое возможно? Мне кажется, это какое-то условное обозначение, что «без шва». Иначе как же открытую рану, коей и является разрез, зафиксировать, чтобы она потом не разошлась?
-

Где-то смотрела видео, там Хачатрян рассказывает, что конкретно за методика имеется в виду
Но я у него обычную круговую блефаропластику сделала. И тоже нет никаких явных следов. А результат — просто шик. Я даже не подозревала, что такой малой ценой можно достичь таких результатов. Эффект омоложения на все лицо.
Я хочу отметить, что у Вардана все швы аккуратные. Что на лице, что на груди, что на животе после абдомино. Его его особенность.
-
-

Очень хочу сделать нижние веки. И не только. Мне нравятся глазки у Беллы Хадид, у Мелании Трамп. Слегка прищуренные. Я знаю, что такого эффекта можно с помощью пластики добиться.
Интересно, а Хачатрян проводит что-то подобное? Он ведь любитель всех этих голливудских лифтингов и прочего
-
-
-

Ну, врач, конечно, выдающийся

Читала отзывы про бесшовную блефаропластику Хачатряна. Мне нравится, что он в своем деле тоже умудряется быть выше, лучше, первее. А ведь мало кто такие операции вообще проводит в такой деликатной зоне, как нижние веки.
Браво Вардану
-
-
Хлысталов, нижняя блефаро - 60 тысячДевочки, недавно совсем сделала классическую нижнюю блефаро. Убрала выпирающий жир, убрала избытки кожи, которые можно было пальцами оттянуть вверх. И это так хорошо облагородило мое лицо. Я так посвежела, так похорошела. Хотя срок еще маленький и окончательный резульатт только через месяца, а то и 2 будет. Очень нравится, я довольна. Обошлась операция в 60 тысяч. Это спец цена, летняя, я тк понимаю. Хирург классный — Максим Хлысталов. Всем рекомендую!!!
-

Серьезно, 60 тыс на всё-про всё? Вот это вы удачливая пациентка!
-

Полина Липатова (polinalip) очень вкусная цена! скажите, это цена только операции, или у вас на всё, включая анестезию и анализы, столько ушло?
-

Полина, подскажите, а потом шов на нижних веках быстро заживает? Не очень его видно потом после операции?
-
-

Если кожа висит, дряблая, то надо резать — надо делать обычную блефаропластику. А если кожа упругая, а проблема только в мешках под глазами — то надо делать трансконъюнктивальную. В моем возрасте 48 лет уже была проблема с дряблостью кожи+ жировые грыжи, так что мне потребовалась классическая нижняя блефаро с разрезом на коже. Но у меня, к счастью, хирургом была Лилит Чолоян,вот она мне по своей авторской методике микрохирургической провела пластику, так что швов вообще не видно никаких, не осталось видимых следов. Благодарна ей за такой уникальный подход и поддержку на всем протяжении процесса

-

Мне иногда любопытно, почему нельзя этот жир в нижних веках как-то шприцом извлечь , без разрезов
надеюсь, когда-нибудь появится такая технология -

Устала выглядеть старше своих лет. Эти мешки под глазами превращали меня в вечно усталую тетку. Маскирующие патчи и крема помогали от силы на пару часов. Карен Пайтян сразу понравился — внимательный, всё объяснил про особенности моей ситуации. Рассказал про технику операции, показал фото. Главное — дал чёткое понимание, чего ожидать. Теперь понимаю, почему его так рекомендуют. Взгляд стал открытым, лицо помолодело. Никаких следов от операции — только красота и легкость!
-
Микрохирургическая блефаропластикаПроблема настигла меня в возрасте 45 лет — появились ненавистные мешки под глазами, обвисла кожа верхних век. Каждый день я смотрела в зеркало и видела уставшее лицо, хотя чувствовала себя полной энергии.
Решение пришло неожиданно — я записалась на консультацию к Лилит Чолоян. После тщательного осмотра и обсуждения всех нюансов, мы решили провести комбинированную блефаропластику верхних и нижних век.
Операция прошла под общим наркозом. Лилит использовала современную микрохирургическую технику, что позволило максимально точно и аккуратно удалить излишки кожи и жировой ткани. На верхних веках разрез был выполнен по естественной складке, а на нижних — под линией роста ресниц.
Восстановление заняло около двух недель. Конечно, были отеки и синяки, но благодаря профессионализму Лилит и строгому соблюдению её рекомендаций, процесс реабилитации прошел достаточно комфортно.
Результат превзошел все ожидания! Мешки под глазами исчезли, взгляд стал открытым и молодым. Кожа вокруг глаз подтянулась, исчезли лишние складки. Теперь я снова чувствую себя уверенно и привлекательно.
Главное, что я поняла — выбор опытного хирурга критически важен. Лилит Чолоян не только профессионал высочайшего класса, но и чуткий специалист, который внимательно относится к пожеланиям пациента. Её подход к работе и внимание к деталям позволили достичь естественного и гармоничного результата, который, как обещают, сохранится на 10-15 лет.
Теперь я с уверенностью могу сказать — блефаропластика стала лучшим решением для возвращения молодости моему взгляду. И я благодарна Лилит за её мастерство и заботу на каждом этапе лечения. -

Мешки под глазами были моей проблемой много лет. Я пробовала разные методы, но ничего не давало длительного эффекта. Решив сделать операцию, я опасалась рубцов и долгого восстановления. Валерий Юрьевич провёл консультацию, объяснил причину проблемы и предложил классическую нижнюю блефаропластику.
Операция прошла успешно и заняла немного времени. Восстановление было быстрым, и уже через несколько дней я могла выходить на улицу. Сейчас я чувствую себя увереннее и не трачу время на маскировку проблем с помощью косметики. Спасибо Валерию Юрьевичу за возвращение уверенности в себе!

